
SFA-CTOを閉塞しているPTA経由で治療を行った1例

滝村 英幸 先生
総合東京病院
症例:60代男性
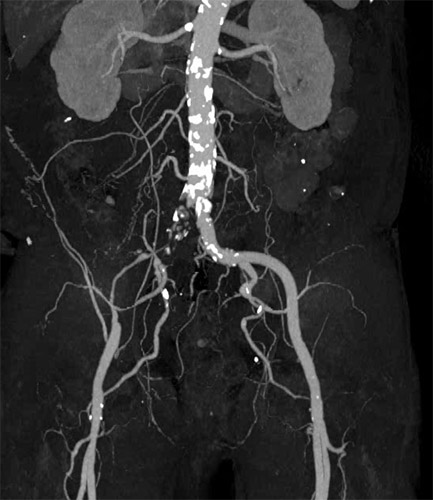
主訴は跛行(Rutherford分類3)の方で ABI検査を実施したところ0.62と低値。リスクファクターとして糖尿病(DM)、高血圧(HT)、脂質異常症(DL)が認められた。今回の標的病変は左大腿動脈(Lt. SFA CTO)【図1・図2】であり、アプローチ部位はTAI(Trans ankle intervention)にて施行することとした。


BKについてはATAは開存しており、PTAが途中から閉塞していることを確認した。【図3】

症例の流れ:エコーガイド穿刺からATA-PTAへのワイヤリング
まずはエコーガイド下にPTAの穿刺を試みるが非常にシビアな石灰化に阻まれ穿刺不可となった。PTAの穿刺は諦め、開存しているATAを穿刺しZizai130cmガイド下に0.014inch 1gガイドワイヤーを使用しワイヤリングを実施。ATA入口部付近でZizaiから先端造影を実施。PTAが途中から閉塞していることを確認。【図4】ATAからPTAへワイヤーを反転させて、ワイヤーに追従させる形でZizaiを持ち込んだところ、先端部の柔軟性が高いことからワイヤーへスムーズにZizaiが追従出来たと考える。
ATAからそのままSFAへアプローチすれば手技が早くなる可能性があるが、万が一にでも開存している血管が詰まってしまうことを考慮し、TAIのルールとして血管性状が悪い方からアプロ―チすることが重要である。
PTAからワイヤーを18Gの針で穿刺し【図5】、プルスルーを実施。【図6】高度石灰化のため、プルスルーしたワイヤーを使用して穿刺針でプリパレーションを行い、4Frマイクロパンクチャーシースを挿入しPTA閉塞部をCrosperioRX 2.5-200mmで拡張しPTAの開存を確認。【図7】




症例の流れ:SFA CTOへのWiringとFinalize
治療を行ったPTAより、ラジフォーカスガイドワイヤーM スティッフJタイプを挿入し、5FrガイディングシースでSFAへアプローチ。ガイディングシース内にガイディングカテーテルを挿入し、0.014inchテーパーワイヤー 45gをエコーガイド下で穿通させCrosstellaOTW 3.0-40mmを拡張しながら進めた。【図8】 Crosstella OTWバルーンを通し、0.014inch 300㎝のワイヤーに交換。IVUSはAnteOwl WRを使用しワイヤールートを確認したところすべてTrue Lumenであることを確認。要所で石灰化が厳しい部分があったため、カッティングバルーンを使用し拡張。
病変部を拡張しても圧格差が取れなかったため、IVUSでのマーキング後にDES 7.0-150mmを2本留置。【図9・図10】留置後にIVUS確認したところDESが正円に拡張していることを確認。【図11】




SFAの最終造影を行い、圧較差も無くなり良好な血流を確認し治療終了。【図12・図13】
今回の様にATAは開存しているがPTAは閉塞している症例でTAIを行う際、ATAからシースを挿入しSFA治療を行うとATAが閉塞してしまいCLTIを招いてしまう恐れがあるため、TAIの適応としては血管性状が悪い血管からのアプローチがポイントである。


25CA101
TM-00001326-001
TRA R2P systemに拘ったComplex iliac CTOの1例

早川 直樹 先生
国保旭中央病院
症例:80代男性
2025年4月ごろから右下肢の冷感症状があり、近医にてABI検査施行したところABI:0.51と低下。跛行は以前からかなり強く認めていた。既往歴は慢性腎不全、高血圧、糖尿病、脂質異常症、前立腺癌。術前CTでterminalから病変がありEIAは多少ルーメンがあることと左CIA ostiumにも病変あることを認めた。FPには病変がないことは確認し、iliacに対してのEVTを施行することとなった。【図1】

症例の流れ:
左RadialからR2Pシステムを選択し Glidesheath Slender6Frを挿入。グライドキャスⅡ(4F/135cm長/MG2形状、以後RAVIカテーテルとする)、ガイドワイヤーを下行大動脈へ誘導。R2P DestinationSlenderに交換し造影確認。【図2】
まずは左CIAからの確認のためIVUSはAnteOwl WRを使用し確認したところ、CIA入口部に病変がありterminal Aortaにも多少病変があるため両側ステントが必要だと想定された。【図3】


症例の流れ:右CIA-EIAへのWiringとTipDitection法
Wiringは右CIAからスタート。RAVIカテーテルを入口部に置いてマイクロカテーテル・ガイドワイヤーは0.014inch 6gでwiringを行った。EIA Distalでsubintimalに進んだため【図4】retrogradeへのスイッチの選択肢もあったが、antegrade IVUS-guided parallel wiringを継続施行。ガイドワイヤーを0.014inch 6g へ交換しAnteOwl WRを持ち込み、マイクロカテーテル150cmと0.014inch 40gワイヤーのシステムでTipDitection法を施行。【図5】
この際に用いたIVUSはAnteOwl WRを使用。AnteOwl WRの有効長が135㎝とR2PDistinationSlender119cmとの組み合わせではAnteOwl WRの突出長が短い懸念点があるが 、R2PDestinationSlenderをCIA CTOの中に挿入することで10~15cm程、突出可能なため、iliac病変の全長を確認することが可能であった。


Plaqueが12時~3時方向にあることをIVUSで確認。【図6】
最初はTipが6時方向に流れていたため、ワイヤーを引いて180度ターンさせることで12時方向へとTipを導いた。その後、3時方向にPlaqueが連続していることが確認出来たため、Tipを3時に誘導しTrueを獲得することが出来た。【図7】


ワイヤー通過後、EIA DisからCrosperio RX 4.0-40mmで拡張、その後EIA-CIAにかけてSenri6.0-40mmで拡張。
症例の流れ:両側iliacへのKissingStent
Balloonで全拡張した後にEIA DisよりR2P Misago8.0-100mmを留置。CIAには少しAortaに出す形でR2P Misago10-60mmを重ねて留置。【図8】
R2P MisagoのProxmal合わせてで、位置ずれすることなく正確に留置することが出来た【図9】


その後、左iliacについてもRadialにて治療を継続。14ワイヤーで左iliacを治療しようと思うと右からAortaに出たストラットを縫ってしまう可能性があるため、RAVIカテーテルを使用し35ワイヤーに交換。【図10】35ワイヤーを通過させた後にそのままダイレクトのKissingステントでR2P Misago7.0-40mmを留置。【図11】R2P Misagoは留置時に意図したポジションに留置出来る頻度が高いためradialAccessのアプローチに適したステントであると考える。


最終造影でも非常に良好な仕上がりで完結させることが出来た。【図12】
TRAのみで両側Kissingステント・R2P Misagoの位置決めの正確性が際立った症例であった。またTRAで治療をする際は、様々な情報が必要になるため今回のようにIVUSやCTの情報を駆使することが重要である。

25CA101
TM-00001326-001
製品に関する
お問い合わせ
R2P、Zizai、Angio-Seal、Destination など Peripheral製品に関する情報
AltaView、AnteOwl WR、OFDI のImaging製品に関する情報
R2Pに関する手技ハンズオンのご要望 など









